BA 二重埋没法6点固定+下眼瞼拡大術+下眼瞼逆さまつ毛手術後1週間の経過写真 | プリモ麻布十番クリニック 美容整形ブログ 2503

BA 二重埋没法6点固定+下眼瞼拡大術+下眼瞼逆さまつ毛手術後1週間の経過写真

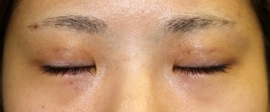
術前正面

手術前の目元です。

 

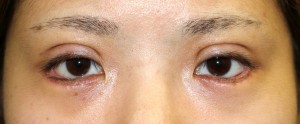
po1W正面

二重埋没法6点固定+下眼瞼拡大術+下眼瞼逆さまつ毛手術後1週間の経過写真です。

make upなしです。

まだまだ腫れている時期です。これから徐々に落ち着いていきます。

下眼瞼拡大術もやや過矯正ぎみになっています。

 

術前斜め

手術前の斜めからです。

 

po1W斜め

手術後1週間の斜めからです。

 

術前横

手術前の横からです。

 

po1W横

手術後1週間の横からです。

逆さまつ毛は改善しています。

 

po1W閉瞼

手術後1週間の目を閉じたところです。

 

・費用(税別、麻酔代別)

 

二重埋没法6点固定 ¥160,000

下眼瞼拡大術    ¥400,000

逆さまつ毛手術   ¥200,000

 

・リスク・副作用(起こり得る可能性のあること)

 

腫れ、内出血、瞼の違和感、傷跡

埋没糸の露出

ラインの消失

埋没した吸収糸の露出

瞼の形態の変化

三白眼逆さまつ毛、複視

睫毛側皮膚の知覚異常

外反

 


Author 美容形成外科医 大場 理事長/院長 ブログ

More posts by 美容形成外科医 大場 理事長/院長 ブログ

© 2018 Primo All rights reserved.

メールで相談 カウンセリング予約 公式LINE オンライン診療 オンラインショップ 0120-062-069