CN 全切開+上眼瞼脱脂術 手術後6か月の経過写真 | プリモ麻布十番クリニック 美容整形ブログ 2503

CN 全切開+上眼瞼脱脂術 手術後6か月の経過写真

術前です

平行で幅広の二重を希望され

当院で全切開+上眼瞼脱脂術を行いました

術後6か月の開瞼時です。

幅広の平行型二重がしっかりと形成されました。

 

 

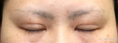
術後6か月 閉瞼時です

 

 

・費用(税別、麻酔代別)

 

全切開+上眼瞼脱脂術 ¥350,000

 

 

 

・リスク・副作用(起こり得る可能性のあること)

 

腫れ、内出血

瞼の違和感

傷跡

睫毛側皮膚の知覚低下

埋没した吸収糸の露出

ラインの消失

瞼の形態の変化

 


Author 美容形成外科医 大場 理事長/院長 ブログ

More posts by 美容形成外科医 大場 理事長/院長 ブログ

© 2018 Primo All rights reserved.

メールで相談 カウンセリング予約 公式LINE オンライン診療 オンラインショップ 0120-062-069