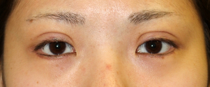
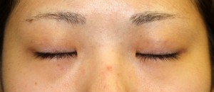
手術前の目元です。 二重埋没法6点固定+下眼瞼拡大術+下眼瞼逆さまつ毛手術後1ヶ月の経過写真です。 make upなしです。 術後の傷跡はほとんど分からなくなっています。 下眼瞼拡大術によって目が下方向に大きくなっています。 手術前の斜めからです。 手術後1ヶ月の斜めからです。 術後は下眼瞼拡大術によってたれ目傾向になりました。 手術前の横からです。 手術後1ヶ月の横からです。 手術後1ヶ月の目を閉じたところです。 ・費用(税別、麻酔代別) 二重埋没法6点固定 ¥160,000 下眼瞼拡大術 ¥400,000 逆さまつ毛手術 ¥200,000 ・リスク・副作用(起こり得る可能性のあること) 腫れ、内出血、瞼の違和感、傷跡 埋没糸の露出 ラインの消失 埋没した吸収糸の露出 瞼の形態の変化 三白眼、逆さまつ毛、複視 睫毛側皮膚の知覚異常 外反 埋没法 下眼瞼拡大術(たれ目形成) 逆さまつ毛手術 にほんブログ村 美容外科ブログランキングへ Tags:6点固定たれ目形成術下眼瞼拡大術二重埋没法逆さまつ毛手術