A 目尻切開+逆さまつ毛手術の経過写真 手術後1ヶ月の経過写真 | プリモ麻布十番クリニック 美容整形ブログ 2503

A 目尻切開+逆さまつ毛手術の経過写真 手術後1ヶ月の経過写真

 

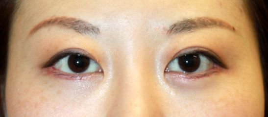
目尻切開+逆さまつ毛手術後1カ月の経過写真です。

 

傷の赤みも相当落ち着いてきました。

 

 

手術前の正面です。

 

手術後にはまつ毛が上向きに生えていたのが、

 

下に向くようになりました。

 

 

手術後1カ月の斜めからです。

 

 

手術前の斜めからです。

 

 

目尻切開手術後1カ月の横からです。

 

 

手術前の横からです。

 

 

・費用(税込、麻酔代別)

 

目尻切開術   ¥275,000

逆さまつ毛手術 ¥220,000

 

・リスク・副作用(起こり得る可能性のあること)

 

腫れ、内出血、瞼の違和感、傷跡

埋没した吸収糸の露出

瞼の形態の変化

睫毛側皮膚の知覚異常

外反

 


Author 美容形成外科医 大場 理事長/院長 ブログ

More posts by 美容形成外科医 大場 理事長/院長 ブログ

Leave a Reply

© 2018 Primo All rights reserved.

メールで相談 カウンセリング予約 公式LINE オンライン診療 オンラインショップ 0120-062-069