BA 二重埋没法6点固定+下眼瞼拡大術+下眼瞼逆さまつ毛手術後2ヶ月の経過写真 | プリモ麻布十番クリニック 美容整形ブログ 2503

BA 二重埋没法6点固定+下眼瞼拡大術+下眼瞼逆さまつ毛手術後2ヶ月の経過写真

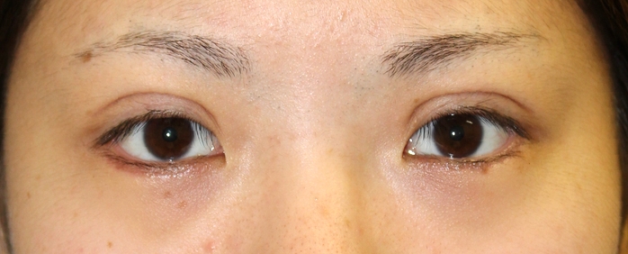
術前正面

手術前の目元です。

 

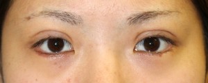
po2M正面

二重埋没法6点固定+下眼瞼拡大術+下眼瞼逆さまつ毛手術後2ヶ月の経過写真です。

make upなしです。

術後はご希望の平行型二重が形成されました。

下眼瞼拡大術によって目が下方向に大きくなっています。

 

術前斜め

手術前の斜めからです。

 

po2M斜め

手術後2ヶ月の斜めからです。

 

術前横

手術前の横からです。

 

po2M横

手術後2ヶ月の横からです。

術後は逆さまつ毛も防ぎ、問題ない形態です。

傷跡もほとんど分からなくなってきました。

 

po2M閉瞼

手術後2ヶ月の目を閉じたところです。

 

・費用(税別、麻酔代別)

 

二重埋没法6点固定 ¥160,000

下眼瞼拡大術    ¥400,000

逆さまつ毛手術   ¥200,000

 

・リスク・副作用(起こり得る可能性のあること)

 

腫れ、内出血、瞼の違和感、傷跡

埋没糸の露出

ラインの消失

埋没した吸収糸の露出

瞼の形態の変化

三白眼逆さまつ毛、複視

睫毛側皮膚の知覚異常

外反

 


Author 美容形成外科医 大場 理事長/院長 ブログ

More posts by 美容形成外科医 大場 理事長/院長 ブログ

© 2018 Primo All rights reserved.

メールで相談 カウンセリング予約 公式LINE オンライン診療 オンラインショップ 0120-062-069