BA 二重埋没法6点固定+下眼瞼拡大術+下眼瞼逆さまつ毛手術後6ヶ月の経過写真 | プリモ麻布十番クリニック 美容整形ブログ 2503

BA 二重埋没法6点固定+下眼瞼拡大術+下眼瞼逆さまつ毛手術後6ヶ月の経過写真

術前正面

手術前の目元です。

 

po6M目元

二重埋没法6点固定+下眼瞼拡大術+下眼瞼逆さまつ毛手術後6ヶ月の経過写真です。

make upなしです。

術後は希望の平行型二重がしっかりと形成されています。

下眼瞼拡大術によって下方向に瞼が下がり目がたれ目な感じに大きくなっています。

 

術前斜め

手術前の斜めからです。

 

po6M目元斜め

手術後6ヶ月の斜めからです。

 

術前横

手術前の横からです。

 

po6M目元横

手術後6ヶ月の横からです。

下眼瞼拡大術(たれ目形成術)を行うと逆さまつ毛になりやすくなりますが、

逆さまつ毛手術を同時に行うことで予防、改善を図ることができました。

 

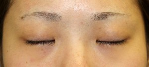
po6M目元閉瞼

手術後6ヶ月の目を閉じたところです。

 

・費用(税別、麻酔代別)

 

二重埋没法6点固定 ¥160,000

下眼瞼拡大術    ¥400,000

逆さまつ毛手術   ¥200,000

 

・リスク・副作用(起こり得る可能性のあること)

 

腫れ、内出血、瞼の違和感、傷跡

埋没糸の露出

ラインの消失

埋没した吸収糸の露出

瞼の形態の変化

三白眼逆さまつ毛、複視

睫毛側皮膚の知覚異常

外反

 


Author 美容形成外科医 大場 理事長/院長 ブログ

More posts by 美容形成外科医 大場 理事長/院長 ブログ

© 2018 Primo All rights reserved.

メールで相談 カウンセリング予約 公式LINE オンライン診療 オンラインショップ 0120-062-069