二重埋没法6点固定および下眼瞼脱脂術後6カ月の経過写真です。
当初見られた浮腫みも完全に落ち着き希望通りの二重が完成しています。
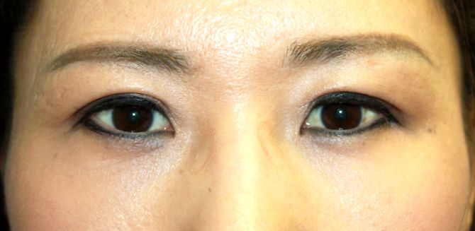
手術前の正面写真です。
術前にみられた下眼瞼の脂肪の膨らみ(目袋)は
手術後すっきりとした状態になっています。
結膜側から脱脂を行いますので、
皮膚には傷が一切残りません。
術後6カ月の目を閉じたところです。
埋没法の糸の傷や膨らみなどはわかりません。
摘出した脂肪です。
左右バランスを調整し摘出しました。
二重埋没法6点固定および下眼瞼脱脂術後6カ月の経過写真です。
当初見られた浮腫みも完全に落ち着き希望通りの二重が完成しています。
手術前の正面写真です。
術前にみられた下眼瞼の脂肪の膨らみ(目袋)は
手術後すっきりとした状態になっています。
結膜側から脱脂を行いますので、
皮膚には傷が一切残りません。
術後6カ月の目を閉じたところです。
埋没法の糸の傷や膨らみなどはわかりません。
摘出した脂肪です。
左右バランスを調整し摘出しました。
MEDICAL
CONTENTS
BLOG
MOVIE
GUIDE
RECRUIT





