
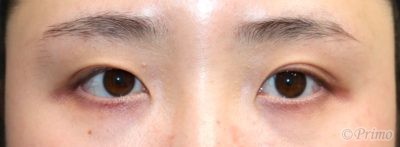
目頭切開、下眼瞼拡大術(たれ目形成)、目尻切開
術後2週間の経過写真です。
make upなしです。
目頭切開、下眼瞼拡大術、目尻切開術の効果で目が内側方向、下方向、外側方向へと大きくなりました。

手術前の斜めからです。

手術後2週の斜めからです。

手術前の横からです。

手術後2週の横からです。

目頭切開、下眼瞼拡大術(たれ目形成)、目尻切開
術後2週間の経過写真です。
make upなしです。
目頭切開、下眼瞼拡大術、目尻切開術の効果で目が内側方向、下方向、外側方向へと大きくなりました。

手術前の斜めからです。

手術後2週の斜めからです。

手術前の横からです。

手術後2週の横からです。
MEDICAL
CONTENTS
BLOG
MOVIE
GUIDE
RECRUIT





