
手術前の目元です。
他院にて切開法による二重形成を受けていらっしゃいましたが
幅の修正とラインの入りを安定させる目的で
当院にて二重修正を行いました。

二重修正術術後2か月の経過写真です。
make upなしです。
まだ腫れがありますが、二重のラインが安定しました
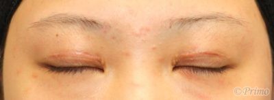
術前の目を閉じたところです

手術後2か月の目を閉じたところです。

手術前の目元です。
他院にて切開法による二重形成を受けていらっしゃいましたが
幅の修正とラインの入りを安定させる目的で
当院にて二重修正を行いました。

二重修正術術後2か月の経過写真です。
make upなしです。
まだ腫れがありますが、二重のラインが安定しました
術前の目を閉じたところです

手術後2か月の目を閉じたところです。
MEDICAL
CONTENTS
BLOG
MOVIE
GUIDE
RECRUIT





