F 逆さまつ毛手術 手術後1か月の経過写真 | プリモ麻布十番クリニック 美容整形ブログ 2503

F 逆さまつ毛手術 手術後1か月の経過写真

術前の正面からです。

下まぶたの逆さまつ毛があり、まつ毛が目に当たって痛いとのことで、

当院にて逆さまつ毛手術を行いました。

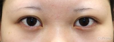
術後1か月の正面からです。

make upなしです。

まつ毛の向きが改善されました。

 

 

術前のななめからです。

 

 

術後1か月のななめからです。

 

 

術前の横からです。

 

 

術後1か月の横からです。

 

 

・費用(税別、麻酔代別)

 

逆さまつ毛手術 ¥200,000

 

・リスク・副作用(起こり得る可能性のあること)

 

腫れ、内出血、瞼の違和感

埋没した吸収糸の露出

外反


Author 美容形成外科医 大場 理事長/院長 ブログ

More posts by 美容形成外科医 大場 理事長/院長 ブログ

© 2018 Primo All rights reserved.

メールで相談 カウンセリング予約 公式LINE オンライン診療 オンラインショップ 0120-062-069