
手術前の正面です。
広めの二重ラインを希望され、さらに目頭切開で目を内側に広げたいという患者様です。
上眼瞼が厚ぼったいので、ROOF切除術もお勧めしました。
当院で二重全切開術+ROOF切除術、目頭切開を行いました。


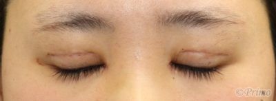
二重全切開術+ROOF切除術、目頭切開 術後1週の正面写真です。
幅の広いはっきりとした二重が形成されています。
術後の腫れのため、目の開きが悪く見えますが、時間経過とともに改善していきます。
目頭切開により蒙古襞がなくなり、目は内側方向に大きくなりました。
術後1週のため、まだ腫れや内出血が見られますが、術後2週ころにはほとんど落ち着いてきます。
閉瞼時の傷跡は、時間経過とともに目立たなくなっていきます。




















