Y 蒙古襞形成 術後2週の経過 | プリモ麻布十番クリニック 美容整形ブログ 2503

手術前の目元です。

以前、他院で目頭切開を受けた結果、目がきつくなりすぎたために戻したいというご希望で来院されました。

当院で蒙古襞形成術を行いました。

 

 

 

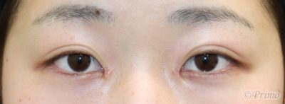
手術後2週の経過写真です。

make upなしです。

丸みのある蒙古襞が形成できました。

涙丘(目の内側のピンクの粘膜部)が自然に隠れています。

傷はまだ赤みがありますが、今後の経過でよりきれいに治っていきます。

 

 

・費用(税別、麻酔代別)

 

蒙古襞形成術  ¥350,000

 

・リスク・副作用(起こり得る可能性のあること)

 

腫れ、内出血、傷跡

瞼の違和感

埋没糸の露出

蒙古襞が足りない、ありすぎる

ドッグイヤー

まぶた、二重の形態変化

 

 

 

 

 

 


Author 美容形成外科医 大場 理事長/院長 ブログ

More posts by 美容形成外科医 大場 理事長/院長 ブログ

© 2018 Primo All rights reserved.

メールで相談 カウンセリング予約 公式LINE オンライン診療 オンラインショップ 0120-062-069