
手術前のお目元です。
二重ラインを広げ、目と目の間の距離も近づけたいとのご希望で、
当院で二重埋没法6点固定+目頭切開を受けていただきました。

手術後2週間の開瞼時です。
make up なしです。
平行型の二重がしっかりと形成されました。
目と目の間の距離も縮まり、さらにバランスが整いました。

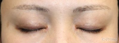
手術後2週間の閉瞼時です。
経過のご参考になさってください。

手術前のお目元です。
二重ラインを広げ、目と目の間の距離も近づけたいとのご希望で、
当院で二重埋没法6点固定+目頭切開を受けていただきました。

手術後2週間の開瞼時です。
make up なしです。
平行型の二重がしっかりと形成されました。
目と目の間の距離も縮まり、さらにバランスが整いました。

手術後2週間の閉瞼時です。
経過のご参考になさってください。
MEDICAL
CONTENTS
BLOG
MOVIE
GUIDE
RECRUIT





