BT 眼瞼下垂手術 術後3ヶ月の経過 | プリモ麻布十番クリニック 美容整形ブログ 2503

BT 眼瞼下垂手術 術後3ヶ月の経過

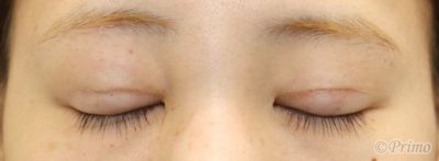
手術前の目元です。

15年前に他院で重瞼術(埋没法)を受けておられますが、二重は薄くなっています。

全切開での二重手術を希望して来院されましたが、目の開きの良くない状態で二重を作ると、眠たい印象の目になってしまう可能性があるため、眼瞼下垂手術をお勧めいたしました。

しっかりとした二重で、さらにパッチリとした目にするために、眼瞼下垂手術を行いました。

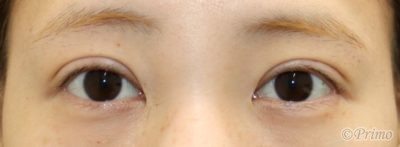
眼瞼下垂手術(術後3ヶ月)の経過写真です。

make upなしです。

術後は目の開きがよくなり、はっきりとした二重が形成されています。

華やかな印象の目もとになりました。

 

 

・費用(麻酔代別、税別)

 

眼瞼下垂手術(腱膜固定) ¥600,000

 

・リスク・副作用(起こり得る可能性のあること)

 

感染

腫れ、内出血

瞼の違和感

二重・開きの左右差

閉瞼不全、ドライアイ


Author 美容形成外科医 大場 理事長/院長 ブログ

More posts by 美容形成外科医 大場 理事長/院長 ブログ

© 2018 Primo All rights reserved.

メールで相談 カウンセリング予約 公式LINE オンライン診療 オンラインショップ 0120-062-069