E二重修正術後2週間の経過写真 | プリモ麻布十番クリニック 美容整形ブログ 2503

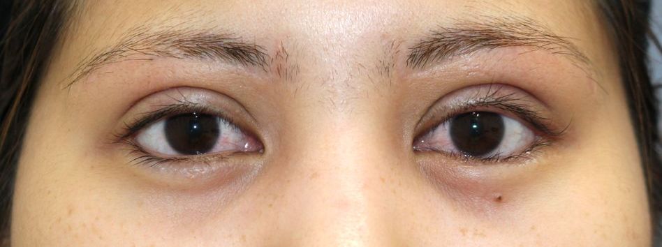
術前目元
手術前の目元です。

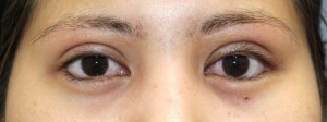
po2W目元
二重修正術後2週間の経過写真です。
make upなしです。

術前は他院で切開法による二重手術を受けていらっしゃいました。
ラインが浅く、ラインの下の皮膚が余りまつ毛にかかっています。
しっかりと自然な二重にしたいということで、当院で二重修正術(重瞼修正切開術)を行いました。
術後はしっかりとしたラインが形成されました。
二重の幅は腫れでまだやや広いですが、今後もう少し狭くなっていきます。

術前目元閉瞼
手術前の目を閉じたところです。

po2W目元閉瞼
手術後2週間の目を閉じたところです。


Author 美容形成外科医 大場 理事長/院長 ブログ

More posts by 美容形成外科医 大場 理事長/院長 ブログ

© 2018 Primo All rights reserved.

メールで相談 カウンセリング予約 公式LINE オンライン診療 オンラインショップ 0120-062-069