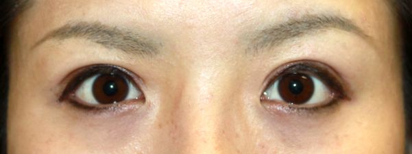
眼瞼下垂修正術後1カ月の経過写真です。
一度他院で眼瞼下垂手術をお受けになられましたが、
効果が不十分で、皮膚のタルミも改善せず、
当院で修正を行いました。
手術の前の正面写真です。
手術後は目の開きが良くなり、
まつ毛の上にたるんでいた皮膚もスッキリとしました。
手術後1週間の経過はこんな感じでした。
目尻側が少し赤いのは、
同時に行った目尻切開と下眼瞼拡大術の影響です。
手術後1週間の目を閉じたところです。
眼瞼下垂修正術後1カ月の経過写真です。
一度他院で眼瞼下垂手術をお受けになられましたが、
効果が不十分で、皮膚のタルミも改善せず、
当院で修正を行いました。
手術の前の正面写真です。
手術後は目の開きが良くなり、
まつ毛の上にたるんでいた皮膚もスッキリとしました。
手術後1週間の経過はこんな感じでした。
目尻側が少し赤いのは、
同時に行った目尻切開と下眼瞼拡大術の影響です。
手術後1週間の目を閉じたところです。
MEDICAL
CONTENTS
BLOG
MOVIE
GUIDE
RECRUIT





