W 右二重埋没法6点固定手術後1ヶ月の経過写真 | プリモ麻布十番クリニック 美容整形ブログ 2503

W 右二重埋没法6点固定手術後1ヶ月の経過写真

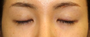
術前目元

手術前の目元です。

 

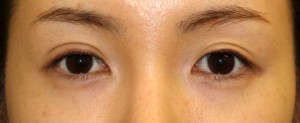
po1M目元

右二重埋没法6点固定手術後1ヶ月の経過写真です。

make upなしです。

術前は他院で10年前に行われた埋没法の二重が右側で外れてきたようで、

当院で右のみ二重埋没法6点固定を行いました。

希望が以前のラインよりも広めでしたので、

今回形成したラインは若干左側よりも広くなっています。

 

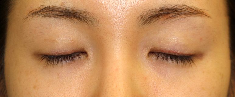
po1M目元閉瞼

手術後1ヶ月の目を閉じたところです。

 

・費用(税別、麻酔代別)

 

二重埋没法6点固定 ¥160,000

 

・リスク・副作用(起こり得る可能性のあること)

 

腫れ、内出血

瞼の違和感

埋没糸の露出

ラインの消失

逆さまつ毛

 


Author 美容形成外科医 大場 理事長/院長 ブログ

More posts by 美容形成外科医 大場 理事長/院長 ブログ

© 2018 Primo All rights reserved.

メールで相談 カウンセリング予約 公式LINE オンライン診療 オンラインショップ 0120-062-069