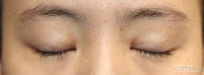
術前です。 以前に他院にて二重埋没法を行いましたが、 さらに幅を広げたいとのご希望で、 当院で二重埋没法4点固定を行いました。 手術後6か月の開瞼時です。 make upなしです。 平行型二重がしっかりと形成されました。 手術後6か月の閉瞼時です。 経過のご参考になさってください。 ・費用(税別、麻酔代別) 二重埋没法4点固定 ¥120,000 ・リスク・副作用(起こり得る可能性のあること) 腫れ、内出血 瞼の違和感 埋没糸の露出 ラインの消失 埋没法 にほんブログ村 美容外科 ブログランキングへ Tags:埋没法