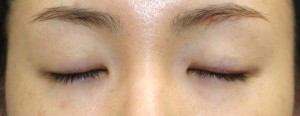
手術前の目元です。 右二重埋没法6点固定手術後6ヶ月の経過写真です。 make upなしです。 術前は他院で行われた埋没法による二重があいまいになっている状態でした。 ご本人の希望から右のみ幅をもう少し広くしたいということで、 当院で二重埋没法6点固定を行いました。 術後は左よりも若干広めの二重がしっかりと形成されました。 手術後6ヶ月の目を閉じたところです。 針穴はわかりにくいようです。 ・費用(税別、麻酔代別) 二重埋没法6点固定 ¥160,000 ・リスク・副作用(起こり得る可能性のあること) 腫れ、内出血 瞼の違和感 埋没糸の露出 ラインの消失 逆さまつ毛 埋没法 にほんブログ村 美容外科ブログランキングへ Tags:6点固定二重埋没法