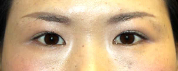
上眼瞼リフト手術後6カ月の経過写真です。
まぶたの開きも良くなり、
腫れぼったさが改善しました。
手術前の正面写真です。
手術後は、二重の幅も自然に広がり、
眉毛とまつ毛の距離は狭くなります。
眉毛の下の傷も相当落ち着いてきており、
ほとんどわからなくなりました。
手術後3カ月はこれくらいの落ち着き具合でした。
手術後1カ月は少し傷がわかりますね。
経過とともに落ち着いてくるのがわかります。
上眼瞼リフト手術後6カ月の経過写真です。
まぶたの開きも良くなり、
腫れぼったさが改善しました。
手術前の正面写真です。
手術後は、二重の幅も自然に広がり、
眉毛とまつ毛の距離は狭くなります。
眉毛の下の傷も相当落ち着いてきており、
ほとんどわからなくなりました。
手術後3カ月はこれくらいの落ち着き具合でした。
手術後1カ月は少し傷がわかりますね。
経過とともに落ち着いてくるのがわかります。
MEDICAL
CONTENTS
BLOG
MOVIE
GUIDE
RECRUIT





