L蒙古襞形成術手術後2週間の経過写真 | プリモ麻布十番クリニック 美容整形ブログ 2503

術前trim
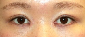
手術前の目元です。

po2W
蒙古襞形成術手術後2週間の経過写真です。
make upなしです。

他院で目頭切開を受けられましたが、目と目の間が近くなりすぎたということで、
当院で蒙古襞形成術(目頭切開修正術)をおこないました。
術後は蒙古襞が形成され目と目の間が少し広くなりました。


Author 美容形成外科医 大場 理事長/院長 ブログ

More posts by 美容形成外科医 大場 理事長/院長 ブログ

© 2018 Primo All rights reserved.

メールで相談 カウンセリング予約 公式LINE オンライン診療 オンラインショップ 0120-062-069