L蒙古襞形成術手術後2ヶ月の経過写真 | プリモ麻布十番クリニック 美容整形ブログ 2503

術前trim
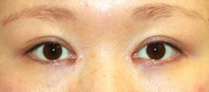
手術前の目元です。

po2M
蒙古襞形成術手術後2ヶ月の経過写真です。
make upなしです。

術前は他院で目頭切開を受けましたが、目のピンクの粘膜部分が出すぎたということで、当院で蒙古襞形成術(目頭切開修正)を行いました。
術後は蒙古襞が形成され目と目の間の距離が少し離れました。


Author 美容形成外科医 大場 理事長/院長 ブログ

More posts by 美容形成外科医 大場 理事長/院長 ブログ

© 2018 Primo All rights reserved.

メールで相談 カウンセリング予約 公式LINE オンライン診療 オンラインショップ 0120-062-069