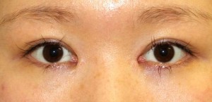
手術前の目元です。 蒙古襞形成術手術後3ヶ月の経過写真です。 make upなしです。 術前は他院で目頭切開を受けましたが、目頭部分を出しすぎたとのことで、 当院で蒙古襞形成術(目頭切開修正術)を行いました。 術後は蒙古襞が形成でき、涙湖が少し隠れました。 自然な目元に近づきました。 蒙古襞形成(目頭切開修正) にほんブログ村 美容外科 ブログランキングへ Tags:目頭切開修正術蒙古襞形成術