L蒙古襞形成術手術後6ヶ月の経過写真 | プリモ麻布十番クリニック 美容整形ブログ 2503

術前trim
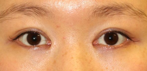
手術前の目元です。

po6Mtrim
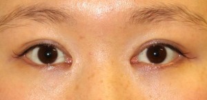
蒙古襞形成術手術後6ヶ月の経過写真です。
make upなしです。
術前は他院で目頭切開を受けていましたが、目と目の間の距離が狭くなりすぎ、
涙湖の粘膜も見えすぎるということで、
当院で蒙古襞形成術(目頭切開修正術)を行いました。
術後はヒダが形成され、目と目の間の距離は少し広くなりました。
ピンクの粘膜部分も少し隠れたため自然な形態に近づきました。


Author 美容形成外科医 大場 理事長/院長 ブログ

More posts by 美容形成外科医 大場 理事長/院長 ブログ

© 2018 Primo All rights reserved.

メールで相談 カウンセリング予約 公式LINE オンライン診療 オンラインショップ 0120-062-069