F二重修正術後1週間の経過写真 | プリモ麻布十番クリニック 美容整形ブログ 2503

術前目元
手術前の目元です。

po1W目元
二重修正術後1週間の経過写真です。
make upなしです。

術後1週間でまだまだ腫れのある時期です。
術前は他院で左のみ切開法による重瞼術を受けていらっしゃいました。
二重を両側広くしたいという希望から当院で二重修正術をおこないました。

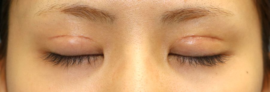
術前目元閉瞼
手術前の目を閉じたところです。

po1W目元閉瞼
手術後1週間の目を閉じたところです。


Author 美容形成外科医 大場 理事長/院長 ブログ

More posts by 美容形成外科医 大場 理事長/院長 ブログ

© 2018 Primo All rights reserved.

メールで相談 カウンセリング予約 公式LINE オンライン診療 オンラインショップ 0120-062-069