F二重修正術後1ヶ月の経過写真 | プリモ麻布十番クリニック 美容整形ブログ 2503

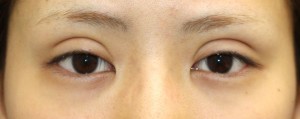
術前目元
手術前の目元です。

po1M目元
二重修正術後1ヶ月の経過写真です。
make upなしです。

術前は他院で左側のみ切開法による重瞼術を受けていらっしゃいました。
両側ともに二重幅を広くしたいという希望から、
当院で二重修正術を行いました。
術後は二重が広くなりましたが、まだむくみの影響で広すぎる印象です。
若干開きも浮腫みによって制限を受けている様子です。
これからもっとぱっちりとした二重になってまいります。

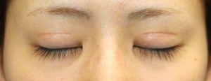
術前目元閉瞼
手術前の目を閉じたところです。

po1M目元閉瞼
手術後1ヶ月の目を閉じたところです。


Author 美容形成外科医 大場 理事長/院長 ブログ

More posts by 美容形成外科医 大場 理事長/院長 ブログ

© 2018 Primo All rights reserved.

メールで相談 カウンセリング予約 公式LINE オンライン診療 オンラインショップ 0120-062-069