F二重修正術後2ヶ月の経過写真 | プリモ麻布十番クリニック 美容整形ブログ 2503

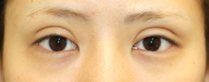
術前目元
手術前の目元です。

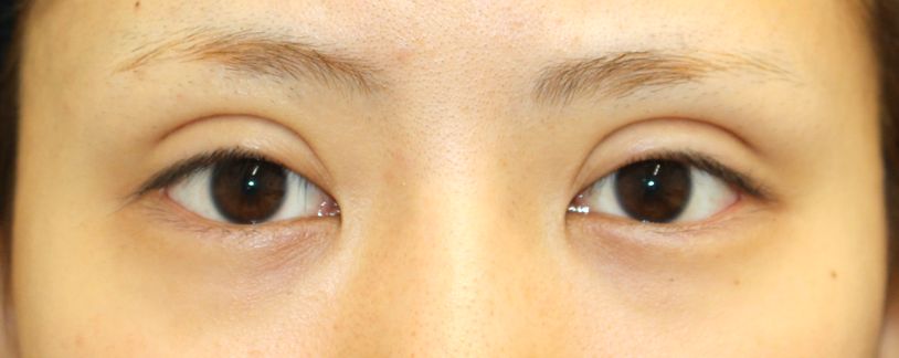
po2M目元
二重修正術後2ヶ月の経過写真です。
make upなしです。
術前は他院で左目のみ切開法による二重手術を受けていました。
もっと幅の広い二重にしたいということで当院で二重修正術を行いました。

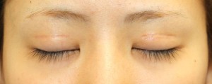
術前目元閉瞼
手術前の目を閉じたところです。

po2M目元閉瞼
手術後2ヶ月の目を閉じたところです。


Author 美容形成外科医 大場 理事長/院長 ブログ

More posts by 美容形成外科医 大場 理事長/院長 ブログ

© 2018 Primo All rights reserved.

メールで相談 カウンセリング予約 公式LINE オンライン診療 オンラインショップ 0120-062-069