F二重修正術後3ヶ月の経過写真 | プリモ麻布十番クリニック 美容整形ブログ 2503

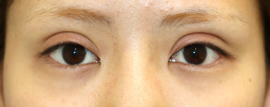
術前目元
手術前の目元です。

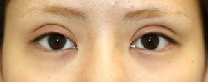
po3M目元
二重修正術後3ヶ月の経過写真です。
make upなしです。
術前は他院で左のみ切開法による重瞼術を受けていらっしゃいました。
二重幅を広くしたい希望から当院で二重修正術を行いました。
術後はご希望の平行型二重が形成されています。

術前目元閉瞼
手術前の目を閉じたところです。

po3M目元閉瞼
手術後3ヶ月の目を閉じたところです。


Author 美容形成外科医 大場 理事長/院長 ブログ

More posts by 美容形成外科医 大場 理事長/院長 ブログ

© 2018 Primo All rights reserved.

メールで相談 カウンセリング予約 公式LINE オンライン診療 オンラインショップ 0120-062-069