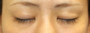
手術前の目元です。 二重修正術後6ヶ月の経過写真です。 make upなしです。 術前は他院で左側のみ全切開による二重手術を受けていらっしゃいました。 両側幅を広くしたいという希望から当院で二重修正術をおこないました。 術後はご希望であった平行型二重が形成されました。 手術前の目を閉じたところです。 手術後6ヶ月の目を閉じたところです。 二重修正術 にほんブログ村 美容外科 ブログランキングへ Tags:二重二重修正術二重修正術(重瞼修正切開術)重瞼修正切開術