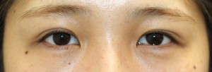
手術前の目元です。 目頭切開手術後6ヶ月の経過写真です。 make upなしです。 手術後はZ形成術による目頭切開の効果で、目と目の間の距離が自然な範囲に狭くなりました。 目頭切開 にほんブログ村 美容外科 ブログランキングへ Tags:Z形成目頭切開