
手術前のお目元です。
他院にて何度か埋没法をされましが、元に戻ってしまったとのことで、
当院にて二重埋没法6点固定を行いました。

手術後3日の開瞼時です。
make upなしです。
自然な二重が形成されました。

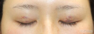
手術後3日の閉瞼時です。
経過のご参考になさってください。

手術前のお目元です。
他院にて何度か埋没法をされましが、元に戻ってしまったとのことで、
当院にて二重埋没法6点固定を行いました。

手術後3日の開瞼時です。
make upなしです。
自然な二重が形成されました。

手術後3日の閉瞼時です。
経過のご参考になさってください。
MEDICAL
CONTENTS
BLOG
MOVIE
GUIDE
RECRUIT





