CL 二重埋没法6点固定 手術直後の経過写真 | プリモ麻布十番クリニック 美容整形ブログ 2503

CL 二重埋没法6点固定 手術直後の経過写真

手術前のお目元です。

他院にて何度か埋没法をされましが、元に戻ってしまったとのことで、

当院にて二重埋没法6点固定を行いました。

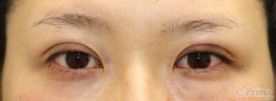
手術直後の開瞼時です。

make upなしです。

自然な二重が形成されました。

 

 

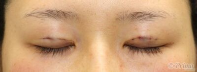
手術直後の閉瞼時です。

経過のご参考になさってください。

 

 

・費用(税別、麻酔代別)

 

二重埋没法6点固定 ¥160,000

 

・リスク・副作用(起こり得る可能性のあること)

 

腫れ、内出血

瞼の違和感

埋没糸の露出

ラインの消失

 


Author 美容形成外科医 大場 理事長/院長 ブログ

More posts by 美容形成外科医 大場 理事長/院長 ブログ

© 2018 Primo All rights reserved.

メールで相談 カウンセリング予約 公式LINE オンライン診療 オンラインショップ 0120-062-069