
手術前のお目元です。
今よりも広い二重にしたいというご希望で、二重埋没法6点固定を行いました。

手術後1週の開瞼時です。
make upなしです。
すでに術後の腫れはほぼ目立ちません。

閉瞼時です。
経過のご参考になさってください。

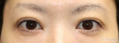
手術前のお目元です。
今よりも広い二重にしたいというご希望で、二重埋没法6点固定を行いました。

手術後1週の開瞼時です。
make upなしです。
すでに術後の腫れはほぼ目立ちません。

閉瞼時です。
経過のご参考になさってください。
MEDICAL
CONTENTS
BLOG
MOVIE
GUIDE
RECRUIT





