手術前の正面写真です。
幅広のくっきりパッチリ二重をご希望されました。
全切開+上眼瞼脱脂術後6日目の経過写真です。
まだまだ腫れがあり、目の開きも弱い時期です。
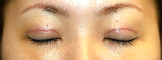
手術後6日目の抜糸直後の閉瞼したところです。
傷は少し赤いですが、明日からお化粧OKです。
ちなみに手術直後はこのくらいの腫れになりました。
手術直後の目を閉じたところです。
切除した皮膚および脂肪です。
左右量を調節して切除しております。
手術前の正面写真です。
幅広のくっきりパッチリ二重をご希望されました。
全切開+上眼瞼脱脂術後6日目の経過写真です。
まだまだ腫れがあり、目の開きも弱い時期です。
手術後6日目の抜糸直後の閉瞼したところです。
傷は少し赤いですが、明日からお化粧OKです。
ちなみに手術直後はこのくらいの腫れになりました。
手術直後の目を閉じたところです。
切除した皮膚および脂肪です。
左右量を調節して切除しております。
MEDICAL
CONTENTS
BLOG
MOVIE
GUIDE
RECRUIT





