
手術前のお目元です。
手術歴なく、平行型の二重になりたいとのご希望で
二重埋没法6点固定を行いました。

手術翌日の開瞼時です。
make upなしです。
平行型の二重が形成されました。

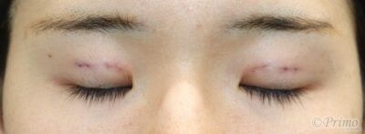
手術翌日の閉瞼時です。
経過のご参考になさってください。

手術前のお目元です。
手術歴なく、平行型の二重になりたいとのご希望で
二重埋没法6点固定を行いました。

手術翌日の開瞼時です。
make upなしです。
平行型の二重が形成されました。

手術翌日の閉瞼時です。
経過のご参考になさってください。
MEDICAL
CONTENTS
BLOG
MOVIE
GUIDE
RECRUIT





