EU 目頭切開+下眼瞼拡大術(たれ目形成)+目尻切開+下眼瞼脱脂術 手術後2ヶ月の経過写真 | プリモ麻布十番クリニック 美容整形ブログ 2503

EU 目頭切開+下眼瞼拡大術(たれ目形成)+目尻切開+下眼瞼脱脂術 手術後2ヶ月の経過写真

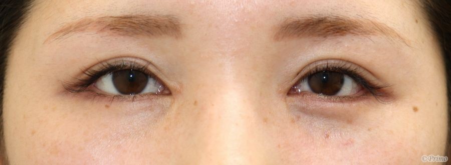
手術前の目元です。

つり目感をなくし、さらに目を横方向に大きくしたいというご希望です。

目頭切開+目尻切開+下眼瞼拡大術を行いました。

同時に、クマ取りの手術、下眼瞼脱脂術も行いました。

 

 

目頭切開、下眼瞼拡大術(たれ目形成)、目尻切開、下眼瞼脱脂術

術後2ヶ月の経過写真です。

make upなしです。

目は内側、外側方向に大きくなり、つり目も改善し柔らかい印象になりました。

 

 

手術前の斜めからです。

 

手術後の斜めからです。

目が外方向に大きくなり、たれ目で柔らかい印象になりました。

・費用(税別、麻酔代別)

 

下眼瞼拡大術  ¥400,000

逆さまつ毛手術 ¥200,000

目頭切開術 ¥250,000

 

 

・リスク・副作用(起こり得る可能性のあること)

 

腫れ、内出血、瞼の違和感、傷跡

埋没した吸収糸の露出

瞼の形態の変化

三白眼逆さまつ毛

外反

複視

 


Author 美容形成外科医 大場 理事長/院長 ブログ

More posts by 美容形成外科医 大場 理事長/院長 ブログ

© 2018 Primo All rights reserved.

メールで相談 カウンセリング予約 公式LINE オンライン診療 オンラインショップ 0120-062-069