BA 下眼瞼拡大術(たれ目形成)+目尻切開 手術後2週間の経過写真 | プリモ麻布十番クリニック 美容整形ブログ 2503

BA 下眼瞼拡大術(たれ目形成)+目尻切開 手術後2週間の経過写真

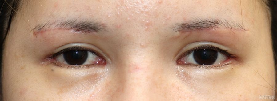
手術前の目元です。

術前は他院で埋没法、二重全切開、目頭切開、目尻切開などを受けていらっしゃいました。

また1ヶ月前に当院で上眼瞼リフト手術を行っています。

目尻を下げて目を大きくしたいとのご希望に対して、

下眼瞼拡大術(たれ目形成)+目尻切開を行いました。

 

下眼瞼拡大術(たれ目形成)、目尻切開 術後2週間の経過写真です。

make upなしです。

下眼瞼拡大術、目尻切開術の効果で目が下方向、外側方向へと拡大しました。

 

手術前の斜めからです。

 

下眼瞼拡大術(たれ目形成)、目尻切開 術後2週間の斜めからです。

 

手術前の横からです。

 

下眼瞼拡大術(たれ目形成)、目尻切開 術後2週間の横からです。

 

・費用(税込、麻酔代別)

 

下眼瞼拡大術  ¥440,000

目尻切開術   ¥275,000

 

・リスク・副作用(起こり得る可能性のあること)

 

腫れ、内出血、瞼の違和感、傷跡

埋没した吸収糸の露出

瞼の形態の変化

三白眼逆さまつ毛

外反、複視

 


Author 美容形成外科医 大場 理事長/院長 ブログ

More posts by 美容形成外科医 大場 理事長/院長 ブログ

© 2018 Primo All rights reserved.

メールで相談 カウンセリング予約 公式LINE オンライン診療 オンラインショップ 0120-062-069