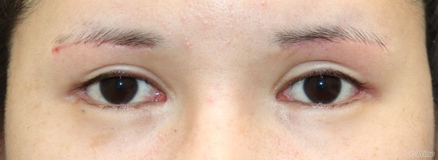
手術前の目元です。
術前は他院で埋没法、二重全切開、目頭切開、目尻切開などを受けていらっしゃいました。
また1ヶ月前に当院で上眼瞼リフト手術を行っています。
目尻を下げて目を大きくしたいとのご希望に対して、
下眼瞼拡大術(たれ目形成)+目尻切開を行いました。
手術前の目元です。
術前は他院で埋没法、二重全切開、目頭切開、目尻切開などを受けていらっしゃいました。
また1ヶ月前に当院で上眼瞼リフト手術を行っています。
目尻を下げて目を大きくしたいとのご希望に対して、
下眼瞼拡大術(たれ目形成)+目尻切開を行いました。
MEDICAL
CONTENTS
BLOG
MOVIE
GUIDE
RECRUIT





