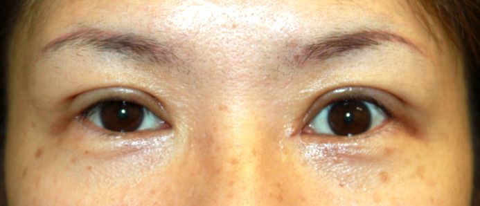
眼瞼下垂手術+左目頭切開手術後1カ月の経過写真です。
まだ少し腫れがありますが、
傷はほとんど目立たない様です。

手術前の正面写真です。
右の目がもともとやや奥目で小さい状態です。
下眼瞼の位置が左よりも少し上にあるように見えます。
奥目の方は目を大きくすることが、
出目の方よりも難しいですね。
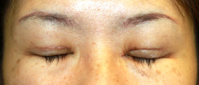
手術後1カ月の目を閉じたところです。
傷の赤みも落ち着いてきています。
眼瞼下垂手術+左目頭切開手術後1カ月の経過写真です。
まだ少し腫れがありますが、
傷はほとんど目立たない様です。

手術前の正面写真です。
右の目がもともとやや奥目で小さい状態です。
下眼瞼の位置が左よりも少し上にあるように見えます。
奥目の方は目を大きくすることが、
出目の方よりも難しいですね。
手術後1カ月の目を閉じたところです。
傷の赤みも落ち着いてきています。
MEDICAL
CONTENTS
BLOG
MOVIE
GUIDE
RECRUIT





