
手術前の目を開けたところです。
他院にて埋没を何度かされましたが、二重が安定しないとのことでした。
当院にて全切開+上眼瞼脱脂術を受けて頂きました。

手術直後の目を開けたところです。
make upなしです。
はっきりとした二重を作ることができました。

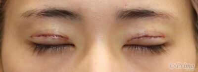
手術前の目を閉じたところです。

手術直後の目を閉じたところです。
経過のご参考になさってください。

手術前の目を開けたところです。
他院にて埋没を何度かされましたが、二重が安定しないとのことでした。
当院にて全切開+上眼瞼脱脂術を受けて頂きました。

手術直後の目を開けたところです。
make upなしです。
はっきりとした二重を作ることができました。

手術前の目を閉じたところです。

手術直後の目を閉じたところです。
経過のご参考になさってください。
MEDICAL
CONTENTS
BLOG
MOVIE
GUIDE
RECRUIT





