
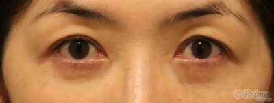
手術前の正面視です。
目の下のふくらみがくまっぽく見えるとのことで、
下眼瞼脱脂術を行いました。

手術後1か月の正面視です。
make upなしです。
目の下の膨らみが改善され、もともとある涙袋が出現しました。

手術前の上方視です。

手術後1か月の上方視です。
経過のご参考になさってください。

手術前の正面視です。
目の下のふくらみがくまっぽく見えるとのことで、
下眼瞼脱脂術を行いました。

手術後1か月の正面視です。
make upなしです。
目の下の膨らみが改善され、もともとある涙袋が出現しました。

手術前の上方視です。

手術後1か月の上方視です。
経過のご参考になさってください。
MEDICAL
CONTENTS
BLOG
MOVIE
GUIDE
RECRUIT





