下眼瞼脱脂術後1カ月の経過写真です。
手術前の正面です。
程度は軽症でしたが、
結膜側からの下眼瞼脱脂により目元がよりスッキリとしました。
手術後1週間はこの位の腫れでした。
それほど1カ月目と変わりません。
腫れの少ない良い手術ですね。
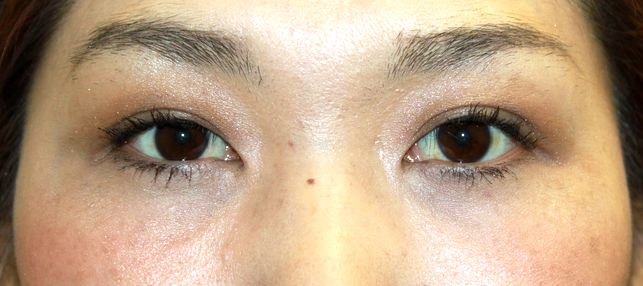
下眼瞼脱脂術後1カ月の経過写真です。
手術前の正面です。
程度は軽症でしたが、
結膜側からの下眼瞼脱脂により目元がよりスッキリとしました。
手術後1週間はこの位の腫れでした。
それほど1カ月目と変わりません。
腫れの少ない良い手術ですね。
MEDICAL
CONTENTS
BLOG
MOVIE
GUIDE
RECRUIT





