CB 眼瞼下垂手術 手術後1週間の経過写真 | プリモ麻布十番クリニック 美容整形ブログ 2503

CB 眼瞼下垂手術 手術後1週間の経過写真

手術前のお目元です。

目の開きを良くしながら二重にもしたいとのご希望で

眼瞼下垂手術を受けて頂きました。

 

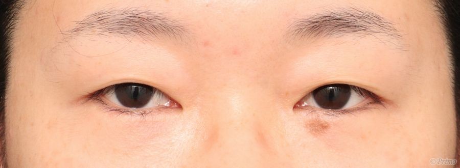
手術後1週間の目を開いたところです。

make up なしです。

目の開きを良くしながら、しっかりとした二重を形成しました。

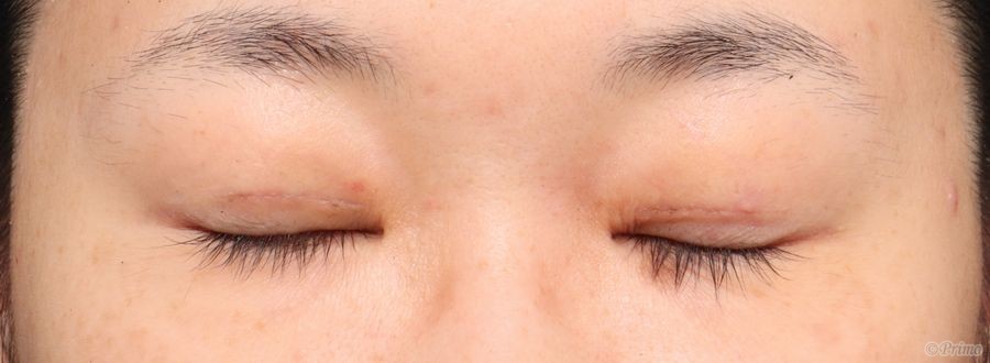
手術後1週間の目を閉じたところです。

経過のご参考になさってください。

 

 

・費用(税込み、麻酔代別)

眼瞼下垂手術        ¥660,000

 

 

・リスク・副作用(起こり得る可能性のあること)

腫れ、内出血

瞼の違和感

睫毛側皮膚の知覚低下

ラインの消失

瞼の形態の変化、顔の印象の変化

閉瞼不全、ドライアイ

ヘリング現象


Author 美容形成外科医 大場 理事長/院長 ブログ

More posts by 美容形成外科医 大場 理事長/院長 ブログ

© 2018 Primo All rights reserved.

メールで相談 カウンセリング予約 公式LINE オンライン診療 オンラインショップ 0120-062-069