CG 眼瞼下垂術手術後1ヶ月の経過写真 | プリモ麻布十番クリニック 美容整形ブログ 2503

CG 眼瞼下垂術手術後1ヶ月の経過写真

手術前の目元です。

右目の開きが特に弱く、

目の開きを改善する目的で眼瞼下垂手術を行いました。

 

眼瞼下垂手術後1ヶ月の経過写真です。

make upなしです。

まだむくみが少しありますが、目の開きが改善し、左右のバランスが良くなりました。

 

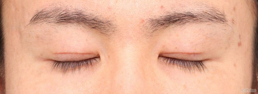
術後1ヶ月の目を閉じたところです。

 

・費用(税込、麻酔代別)

 

眼瞼下垂手術 ¥660,000

 

・リスク・副作用(起こり得る可能性のあること)

 

腫れ、内出血

瞼の違和感

睫毛側皮膚の知覚低下

ラインの消失

瞼の形態の変化、顔の印象の変化

閉瞼不全、ドライアイ

ヘリング現象

 


Author 美容形成外科医 大場 理事長/院長 ブログ

More posts by 美容形成外科医 大場 理事長/院長 ブログ

© 2018 Primo All rights reserved.

メールで相談 カウンセリング予約 公式LINE オンライン診療 オンラインショップ 0120-062-069