GY 鼻中隔延長術+他院鼻プロテーゼ入れ替え(オーダーメイドプロテーゼ)+眉間プロテーゼ 手術後3ヶ月の経過写真 | プリモ麻布十番クリニック 美容整形ブログ 2503

GY 鼻中隔延長術+他院鼻プロテーゼ入れ替え(オーダーメイドプロテーゼ)+眉間プロテーゼ 手術後3ヶ月の経過写真

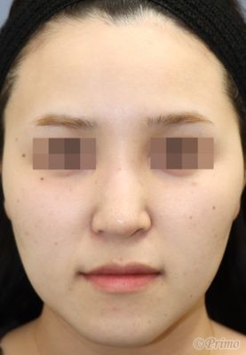
手術前の正面です。

他院で入れたI型プロテーゼが右に曲がってしまい、

鼻先もプロテーゼに押されて鼻翼が広がってしまっていました。

鼻筋を真っ直ぐに整えるため、

鼻中隔延長術+他院鼻プロテーゼ入れ替え術(オーダーメイドプロテーゼ)+眉間プロテーゼを行いました。

 

鼻中隔延長術+他院鼻プロテーゼ入れ替え術+眉間プロテーゼ手術後3ヶ月の経過写真です。

術後は鼻筋が真っ直ぐに整いました。

鼻先が下向きに高くなり、鼻の下が短く見えるようになりました。

 

手術前の斜めからです。

 

手術後3ヶ月の斜めからです。

 

手術前の横からです。

 

手術後3ヶ月の横からです。

鼻がバランス良く高くなり、鼻先は下向きになりました。

口元が控えめに見えるようになりました。

 

・費用(税別、麻酔代別)

 

鼻中隔延長術         ¥600,000

他院鼻プロテーゼ入れ替え術  ¥400,000

眉間プロテーゼ        ¥300,000

他院修正術          ¥300,000

 

・リスク・副作用(起こり得る可能性のあること)

 

腫れ、内出血、鼻出血、鼻づまり

鼻柱の傷跡

鼻先、耳介の知覚低下

鼻の傾き

鼻尖部の挙上ができない

鼻の形の左右差

プロテーゼの動揺

 


Author 美容形成外科医 大場 理事長/院長 ブログ

More posts by 美容形成外科医 大場 理事長/院長 ブログ

© 2018 Primo All rights reserved.

メールで相談 カウンセリング予約 公式LINE オンライン診療 オンラインショップ 0120-062-069